مادر قاتل، جسد فرزندانش را 4 سال در «چمدان» نگه داشت
دادگاهی در نیوزیلند یک زن 44ساله را که بعد از قتل دو فرزندش اجساد آنها را به مدت چهار سال در چمدان نگه داشته بود به…
|
دادگاهی در نیوزیلند یک زن 44ساله را که بعد از قتل دو فرزندش اجساد آنها را به مدت چهار سال در چمدان نگه داشته بود به…
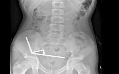
یک نوجوان ۱۳ ساله نیوزیلندی حدود ۱۰۰ آهنربای قوی را که به صورت آنلاین خریداری کرده بود، بلعید و این موضوع باعث شد…
زلزلهای به بزرگی ۶.۸ ریشتر جزایر «کرمادک» متعلق به نیوزیلند را لرزاند.
پزشکان بیمارستانی در اوکلند نیوزیلند، در زمان عمل جراحی سزارین یک زن در سال ۲۰۲۰، ابزار جراحی به بزرگی یک بشقاب را در…