خروج ۹۰ بسته مواد مخدر از معده و روده یک بیمار در کرج
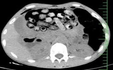
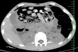
دانشگاه علوم پزشکی البرز از خارج کردن ۹۰ بسته مواد مخدر از معده و روده یک بیمار در کرج خبر داد.
|
دانشگاه علوم پزشکی البرز از خارج کردن ۹۰ بسته مواد مخدر از معده و روده یک بیمار در کرج خبر داد.
فرمانده انتظامی لارستان از دستگیری 2 سوداگر مرگ و کشف یک کیلو و 750 گرم شیشه با هوشیاری ماموران این فرماندهی خبر داد.