خروج ۹۰ بسته مواد مخدر از معده و روده یک بیمار در کرج

دانشگاه علوم پزشکی البرز از خارج کردن ۹۰ بسته مواد مخدر از معده و روده یک بیمار در کرج خبر داد.

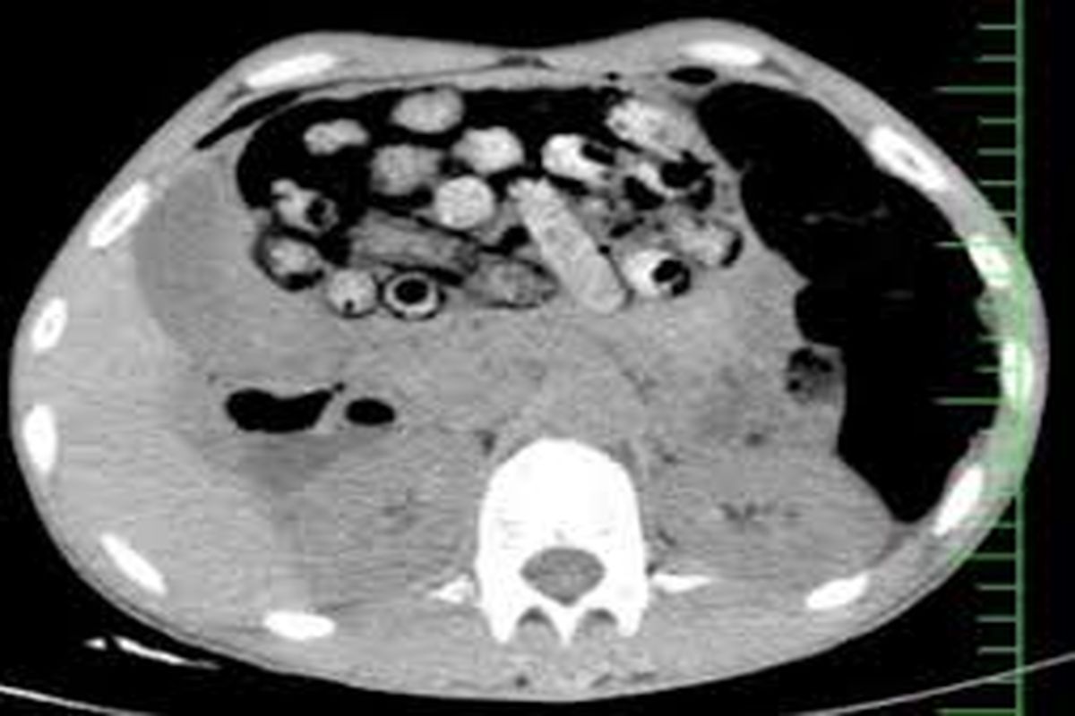
دانشگاه علوم پزشکی البرز روز سه‌شنبه ۲۰ آبان اعلام کرد: مردی میانسال با همراهی مأموران و با شکایت از درد شدید شکم و کتف به اورژانس مرکز آموزشی درمانی شهید مدنی کرج مراجعه کرد.

‌براساس اطلاعات اولیه مأمور همراه، بیمار پیش از مراجعه، اقدام به بلع تعدادی بسته محتوی مواد مخدر کرده بود. در پی انجام تصویربرداری فوری، تعداد زیادی بسته مشکوک در معده و روده کوچک و بزرگ وی مشاهده شد.

‌با توجه به خطر بالای پارگی احتمالی بسته‌ها و بروز عوارض تهدیدکننده حیات، بیمار بلافاصله به اتاق عمل منتقل شد و جراحی سنگین وی از ساعت سه بامداد آغاز شد.

‌در این جراحی که به سرپرستی دکتر سامان شیخی، عضو هیأت علمی گروه جراحی عمومی دانشگاه علوم پزشکی البرز و با همکاری تیم‌های اورژانس، تصویربرداری، بیهوشی و جراحی انجام و ۹۰ بسته از معده و روده بیمار خارج شد.

خروج بیش از ۹۰ بسته مواد مخدر از معده و روده یک بیمار در کرج

اخبار مرتبط

ارسال به دیگران :

نظر شما