حطرفوری
سه‌شنبه ۲۰ آبان ۱۴۰۴ 11 November 2025
  • خانه
  •  سرقت
  •  جنایی
  •  انتظامی
  •  قضایی
  •  حوادث طبیعی
  •  خودکشی
  •  حوادث جهان
  •  تصادف
  •  عمومی
  •  آتش سوزی
  •  مواد مخدر
  •  خانواده
  •  آسیب‌های اجتماعی
  •  حوادث تروریستی
  • مرگ تلخ کودک 12 ساله در سرعین با پاستیل/ علت چه بود؟

    مرگ تلخ کودک 12 ساله در سرعین با پاستیل/ علت چه بود؟

    ۲۰ آبان ۱۴۰۴

    شب گذشته پیرو تماس تلفنی با ۱۱۵ شهرستان سرعین خفگی کودکی اهل روستای آلداشین سرعین گزارش می شود.

  • انفجار تانکر سوخت در یزد در تصادف ۴ خودروی سنگین/ ویدئو

    انفجار تانکر سوخت در یزد در تصادف ۴ خودروی سنگین/ ویدئو

    ۲۰ آبان ۱۴۰۴

    رئیس سازمان آتش‌نشانی یزد گفت: صبح امروز در محور جاده فرودگاه، چهار دستگاه خودرو شامل دو خاور یخچال‌دار، یک دستگاه…

  • پدر مبینا زارع: متهم مبینا را در کارگاه کوره‌ آلومینیوم‌پزی پدرش سوزاند/ قبلا هم مبینا را با اسید تهدید کرده بود

    پدر مبینا زارع: متهم مبینا را در کارگاه کوره‌ آلومینیوم‌پزی پدرش سوزاند/ قبلا هم مبینا را با اسید تهدید کرده بود

    ۲۰ آبان ۱۴۰۴

    محمد زارع می‌گوید: «طبق بررسی‌های پلیس؛ مبینا بعد از اینکه از ماشین اسنپ پیاده شده، سوار ماشین متهم شده است. متهم…

  • پلیس، شبح باغ ویلاها را از «دیوار»بیرون کشید

    پلیس، شبح باغ ویلاها را از «دیوار»بیرون کشید

    ۲۰ آبان ۱۴۰۴

    دزد تحت تعقیب پلیس که به باغ ویلاهای اطراف مشهد دستبرد می زدو اموال سرقتی را در سایت«دیوار»به فروش می رساند در حالی با…

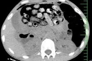
  • خروج ۹۰ بسته مواد مخدر از معده و روده یک بیمار در کرج

    خروج ۹۰ بسته مواد مخدر از معده و روده یک بیمار در کرج

    ۲۰ آبان ۱۴۰۴

    دانشگاه علوم پزشکی البرز از خارج کردن ۹۰ بسته مواد مخدر از معده و روده یک بیمار در کرج خبر داد.

  • احتمال قتل در پرونده مرگ کارگر ساختمانی

    احتمال قتل در پرونده مرگ کارگر ساختمانی

    ۲۰ آبان ۱۴۰۴

    گزارش پزشکی قانونی درباره احتمال مرگ یک کارگر ساختمانی با اصابت گلوله در حالی روند پرونده را تغییر داد که همکاران وی…

  • جزئیات جدید از پرونده قتل پزشک یاسوجی

    جزئیات جدید از پرونده قتل پزشک یاسوجی

    ۲۰ آبان ۱۴۰۴

    دادستان مرکز استان کهگیلویه و بویراحمد از اجرای حکم قصاص نفس قاتل محسن داودی، پزشک متخصص قلب و عروق یاسوجی در ملاء عام…

  • قتل تاجر میانسال با ادعای اختلاف مالی/ آیا متهمان انگیزه جنایت را پنهان می‌کنند؟

    قتل تاجر میانسال با ادعای اختلاف مالی/ آیا متهمان انگیزه جنایت را پنهان می‌کنند؟

    ۲۰ آبان ۱۴۰۴

    اعضای باندی که مرد تاجر را به قتل رسانده‌اند در دادگاه کیفری استان تهران پای میز محاکمه رفتند.

  • پلیس در تعقیب کارتن‌خواب قاتل/ دعوا بر سر آبگرمکن به جنایت انجامید

    پلیس در تعقیب کارتن‌خواب قاتل/ دعوا بر سر آبگرمکن به جنایت انجامید

    ۲۰ آبان ۱۴۰۴

    اختلاف بر سر آبگرمکن باعث شد مرد کارتن‌خواب با ضربه خنجر در حیاط ساختمانی در تهرانپارس دست به قتل بزند.

  • جزئیات جدیدی از قتل پدر توسط پسر ۱۲ ساله در اهر؛ پسر به خاطر توپ‌بازی با چاقوی آشپزخانه پدرش را کشت

    جزئیات جدیدی از قتل پدر توسط پسر ۱۲ ساله در اهر؛ پسر به خاطر توپ‌بازی با چاقوی آشپزخانه پدرش را کشت

    ۱۹ آبان ۱۴۰۴

    یکی از اقوام مقتول گفت: «حدود ساعت ۸ شب پسر مقتول در خانه مشغول توپ بازی بوده که توپ ناگهان به سر مادرش برخورد می‌کند.…

پیوندها

در لحظه با خبر شوید

دنیای فناوری

پشت پرده زندگی سلبریتی ها

خبرهای اقتصادی

دنیای ورزش

موسیقی و ترانه

اخبار مشهد

اخبار ایران و جهان

چاپ کتاب ارزان و با تخفیف

زرچین

خرید زعفران

طراحی و ساخت تندیس

آخرین اخبار اخبار

  • مرگ تلخ کودک 12 ساله در سرعین با پاستیل/ علت چه بود؟
    ۱

    مرگ تلخ کودک 12 ساله در سرعین با پاستیل/ علت چه بود؟

    ۲۰ آبان ۱۴۰۴
  • انفجار تانکر سوخت در یزد در تصادف ۴ خودروی سنگین/ ویدئو
    ۲

    انفجار تانکر سوخت در یزد در تصادف ۴ خودروی سنگین/ ویدئو

    ۲۰ آبان ۱۴۰۴
  • پدر مبینا زارع: متهم مبینا را در کارگاه کوره‌ آلومینیوم‌پزی پدرش سوزاند/ قبلا هم مبینا را با اسید تهدید کرده بود
    ۳

    پدر مبینا زارع: متهم مبینا را در کارگاه کوره‌ آلومینیوم‌پزی پدرش سوزاند/ قبلا هم مبینا را با اسید تهدید کرده بود

    ۲۰ آبان ۱۴۰۴
  • پلیس، شبح باغ ویلاها را از «دیوار»بیرون کشید
    ۴

    پلیس، شبح باغ ویلاها را از «دیوار»بیرون کشید

    ۲۰ آبان ۱۴۰۴
  • خروج ۹۰ بسته مواد مخدر از معده و روده یک بیمار در کرج
    ۵

    خروج ۹۰ بسته مواد مخدر از معده و روده یک بیمار در کرج

    ۲۰ آبان ۱۴۰۴

پربحث ترین اخبار

  • درگیری اراذل اوباش با یک سرباز و یک مامور/ ویدئو

    ۲۶ مرداد ۱۴۰۴
  • پربازدیدترین اخبار
  • |
  • توقف راننده مست در جاده چالوس با شلیک پلیس

    ۲۸ مهر ۱۴۰۴
  • درگیری اراذل اوباش با یک سرباز و یک مامور/ ویدئو

    ۲۶ مرداد ۱۴۰۴
  • ماجرای دختر ۱۷ ساله که از ترس تعرض ناپدری از خانه فرار کرد

    ۰۸ شهریور ۱۴۰۴
  • پیامک عاشقانه راز 3 سال خیانت شوهر را فاش کرد

    ۲۲ مرداد ۱۴۰۴
  • چاقو کشی زن خواب آلود داخل واگن متروی تهران

    ۰۷ مهر ۱۴۰۴
  • تعرض به دختر جوان در مهمانی سیاه

    ۱۲ آبان ۱۴۰۴
  • دختری با چاقو پدرش را در بناب به قتل رساند

    ۲۳ مرداد ۱۴۰۴
  • راز قتل دو برادر نوجوان چه بود؟

    ۲۵ مرداد ۱۴۰۴
  • پدر خشمگین دانش آموز ملاردی معلم را در مدرسه چاقو چاقو کرد

    ۱۳ آبان ۱۴۰۴
  • ماه عسل پنهانی مرد خیانتکار با دوست همسرش

    ۰۴ آبان ۱۴۰۴
  •  درباره ما
خطرفوری

تمام حقوق برای خبرگزاری خطرفوری محفوظ است. استفاده از مطالب با ذکر منبع آزاد است

طراحی سایت خبری و خبرگزاری آسام